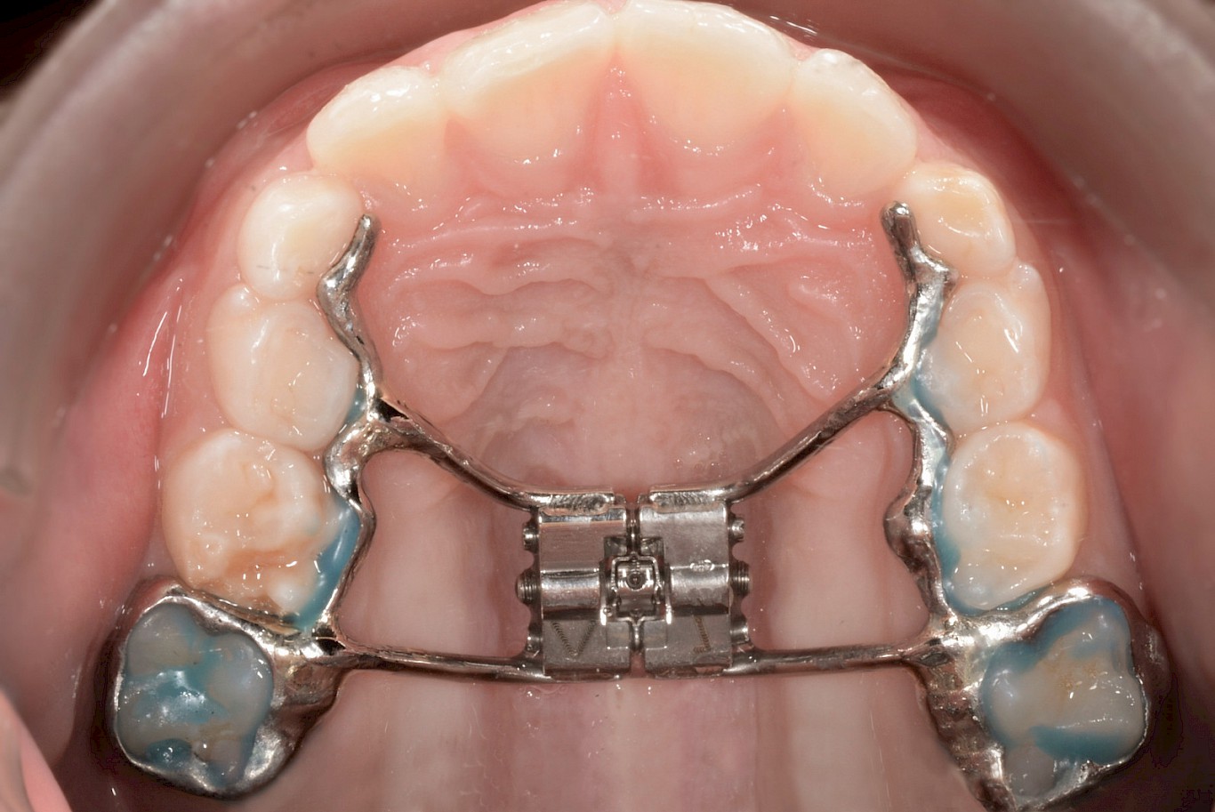
Les appareils fixes

Ils sont fixés dans la bouche de l’enfant ou de l’adolescent le plus souvent par l’intermédiaire de deux bagues collées, ces appareils restent en place tout le temps nécessaire à leur action et à la stabilisation du résultat (en général 6 mois). Par souci de confort, d’adaptation et de limitation des risques carieux par infiltration, les bagues métalliques qui entourent les dents sont fabriquées sur mesure par un procédé d’impression 3D, la microfusion laser, à la pointe des technologies d’orthodontie modernes.